Cabinet de Radiologie Clemenceau
Elastographie
Shearwave




Cabinet de Radiologie Clemenceau
Elastographie
Shearwave


Présentation
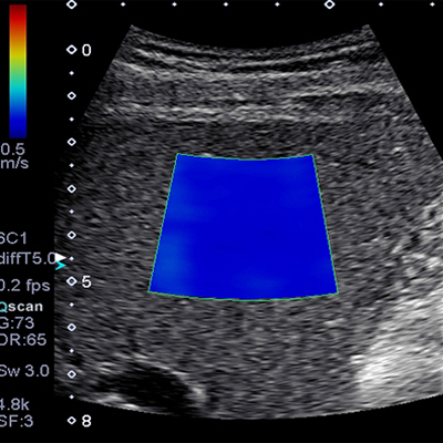
L’élastographie (Shearwave) est une technique récente de l’échographie. Elle étudie les propriétés élastiques et la rigidité des tissus biologiques.
Dans cette modalité d’imagerie, nous étudions la vitesse de propagation d’une onde de cisaillement au sein des structures. Une cartographie relative à l’élasticité des tissus examinés est générée.
Le postulat de départ est que les lésions cancéreuses présentent souvent une rigidité supérieure aux lésions bénignes. Ceci n’est pas toutefois pas vérifié de façon systématique.
L’élastographie permet donc dans certains cas d’apporter des informations diagnostiques supplémentaires et d’améliorer la caractérisation des lésions.
Nos échographes sont équipés de la technique la plus récente, par onde de cisaillement. Cette onde est directement générée par la sonde d’échographie. Elle se propage de façon parallèle aux plans cutanés. Sa vitesse de déplacement ne dépend pas de la pression exercée par le médecin. Il s’agit d’une technique reproductible.

Cette technologie permet l’analyse de régions superficielles telles que la thyroïde, les testicules ou les seins.
Présentation
L’élastographie (Shearwave) est une technique récente de l’échographie. Elle étudie les propriétés élastiques et la rigidité des tissus biologiques.
Dans cette modalité d’imagerie, nous étudions la vitesse de propagation d’une onde de cisaillement au sein des structures. Une cartographie relative à l’élasticité des tissus examinés est générée.
Le postulat de départ est que les lésions cancéreuses présentent souvent une rigidité supérieure aux lésions bénignes. Ceci n’est pas toutefois pas vérifié de façon systématique.
L’élastographie permet donc dans certains cas d’apporter des informations diagnostiques supplémentaires et d’améliorer la caractérisation des lésions.
Nos échographes sont équipés de la technique la plus récente, par onde de cisaillement. Cette onde est directement générée par la sonde d’échographie. Elle se propage de façon parallèle aux plans cutanés. Sa vitesse de déplacement ne dépend pas de la pression exercée par le médecin. Il s’agit d’une technique reproductible.

Cette technologie permet l’analyse de régions superficielles telles que la thyroïde, les testicules ou les seins.
Présentation
L’élastographie (Shearwave) est une technique récente de l’échographie. Elle étudie les propriétés élastiques et la rigidité des tissus biologiques.
Dans cette modalité d’imagerie, nous étudions la vitesse de propagation d’une onde de cisaillement au sein des structures. Une cartographie relative à l’élasticité des tissus examinés est générée.
Le postulat de départ est que les lésions cancéreuses présentent souvent une rigidité supérieure aux lésions bénignes. Ceci n’est pas toutefois pas vérifié de façon systématique.
L’élastographie permet donc dans certains cas d’apporter des informations diagnostiques supplémentaires et d’améliorer la caractérisation des lésions.
Nos échographes sont équipés de la technique la plus récente, par onde de cisaillement. Cette onde est directement générée par la sonde d’échographie. Elle se propage de façon parallèle aux plans cutanés. Sa vitesse de déplacement ne dépend pas de la pression exercée par le médecin. Il s’agit d’une technique reproductible.


