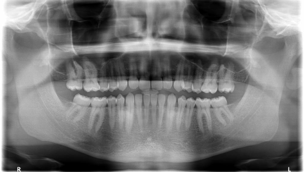
La radiologie dentaire (aussi appelée panoramique dentaire, panorex ou OTP pour orthopantomogramme) est un examen de radiologie conventionnelle qui utilise les propriétés des rayons X.
Il permet de visualiser sur un seul cliché l’ensemble des structures radio-opaques : dents, les os maxillaires supérieur et inférieur ainsi que les articulations temporo-mandibulaires.
Le matériel dentaire est également visualisé : implants, couronnes, amalgames, bridge…
Lors de l’examen, une partie mobile va faire le tour du patient qui devra rester immobile en mordant un objet fixe.
L’examen ne nécessite aucune préparation particulière.
Pour un bilan morphologique et lésionnel plus précis (3D), votre dentiste ou médecin pourra prescrire un Cone Beam.

