La luxation congénitale de la hanche (LCH) est une anomalie de développement dont l’incidence est de 6 naissances pour 1000 par an, en France.
Elle est identifiée à l’examen clinique du nouveau-né par le médecin traitant ou le pédiatre. Il retrouve une mobilité anormale entre le bassin et le fémur. Une asymétrie des plis et/ou de longueur des membres inférieurs est également possible.
La tête fémorale sort, ou peut sortir, en partie ou en totalité du cotyle, alors qu’une hanche normale est stable.
Après l’accouchement, la levée des contraintes obstétricales permet la plupart du temps spontanément un remodelage, une stabilisation et la guérison.
Cependant, les LCH non corrigées entraînent une boiterie dès le début de la marche, une douleur chronique et une atteinte dégénérative précoce.
Le traitement de la LCH est d’autant plus simple et efficace que le diagnostic est précoce. Il est idéalement effectué dans le 1er mois de vie, sinon avant 3 mois.

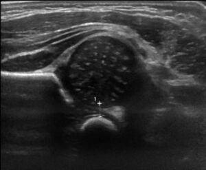
Le dépistage s’effectue à l’âge de 1 mois, en échographie. Il est rapide (quelques minutes) et inoffensif.
Chaque hanche est évaluée.
La mesure du fond cotyloïdien est actuellement la mesure recommandée et validée. Elle est reproductible entre les radiologues et dans le temps.
Au delà de 3 mois d’âge, l’échographie ne pourra plus être réalisée du fait de la maturation de la tête du fémur et des radiographies seront réalisées à la place en cas de besoin.